CONFIANZA Y PRECISION

QUIÉNES SOMOS

Somos un equipo multidisciplinario de especialistas con más de 20 años de trayectoria en cirugía oncológica y reconstructiva formados en instituciones de prestigio nacional e internacional.

En 2021 creamos la primera unidad de cirugía de Mohs en Bahía Blanca, pionera en la región y referente para pacientes de todo el país y del exterior.

Cirugía de Mohs, una técnica que no solo cura, sino que además te cuida.

CIRUGÍA DE MOHS

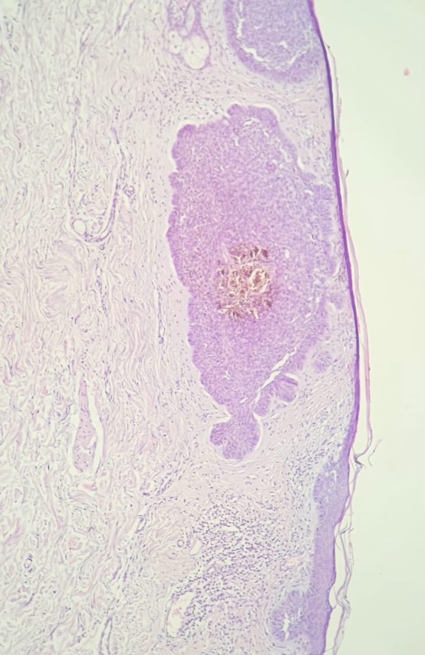
¿QUÉ ES LA CIRUGÍA DE MOHS?

Esta técnica quirúrgica debe su nombre al Dr. Frederic Mohs, quien la desarrolló en la Universidad de Wisconsin en 1941
Es el tratamiento más eficaz, avanzado y estético para el cáncer de piel a nivel mundial. Ofrece la mayor tasa de curación, incluso si el cáncer ya fue tratado sin éxito con otros métodos.
Se realiza en forma ambulatoria y con anestesia local permitiendo una recuperación más rápida y segura.

¿CÓMO SE REALIZA?

La cirugía consta de dos etapas durante un mismo procedimiento:

1. Etapa curativa (fase oncológica):

El cáncer es extirpado de la piel capa por capa por los cirujanos y el equipo de patología las analiza en el momento con tecnología de última generación para asegurarnos de que no quede tumor, evaluando el 100% de los márgenes.

Esta parte del proceso permite máxima precisión y conservar la mayor cantidad de piel sana posible.

2. Etapa reconstructiva (fase plástica):

Una vez curado el tumor, el cirujano plástico reconstruye el defecto con técnicas oncoplásticas cuidando la funcionalidad y la estética, especialmente en áreas visibles, como la cara.

CIRUGÍA DE MOHS PASO A PASO

1. Preparación

Evaluación inicial, marcado del área. Se aplica anestesia local y se prepara el campo quirúrgico.

2. Primera extracción

El cirujano remueve el tumor visible y una fina capa de tejido que se encuentra alrededor.

3. Análisis Microscópico

Mientras esperás fuera de quirófano, la muestra se analiza en el laboratorio y se elabora un "mapa" del tejido extraído. De esta manera si se detectan células cancerosas, se sabe exactamente dónde están.

4. Nueva extracción dirigida

Solo si es necesario, el cirujano vuelve a trabajar sobre el área donde aún quedan células cancerosas, retirando una nueva capa muy precisa. Este ciclo se repite hasta asegurarnos que hemos curado el cáncer.

5. Reconstrucción

Una vez eliminado todo el cáncer, se realiza la reconstrucción plástica del defecto para obtener el mejor resultado estético.

Paso 1 Paso 2 Paso 3 Paso 5 Paso 6 Paso 7 Paso 1 Paso 2 Paso 3 Paso 5 Paso 6

¿CUÁLES SON LAS VENTAJAS DE LA CIRUGÍA DE MOHS?

Ventajas Mohs

1. Eliminación precisa del cáncer

2. Máxima conservación del tejido sano

3. Excelentes resultados estéticos y funcionales

4. Reconstrucción inmediata y recuperación rápida

NUESTRO EQUIPO

Dr. Alvaro Otero Muñoz

Alvaro Otero Muñoz

Cirujano Oncólogo

Ver CV
Dra. Elisa Panelli

Elisa Panelli

Patóloga

Ver CV
Dr. Jeronimo Serrano

Jeronimo Serrano

Cirujano Plástico

Ver CV
Dra. Silvina Verna

Silvina Verna

Cirujana Oncóloga

Ver CV
Sofia Martin

Sofia Martin

Med. Clínica

Ver CV
Maria Oliver

Maria Oliver

Kinesióloga

Ver CV
Fabiana Narvarte

Fabiana Narvarte

Kinesióloga

Ver CV
Ignacio Busca

Ignacio Busca

Psicólogo

Ver CV
jorgelina paramo

Jorgelina Páramo

Nutricionista

Ver CV

PREGUNTAS FRECUENTES

La cirugía de Mohs es el tratamiento más efectivo que existe hoy en día para muchos tipos de cáncer de piel. Tiene las tasas de curación más altas del mundo, incluso en casos donde otros tratamientos no funcionaron.

La cirugía de Mohs está especialmente recomendada en las siguientes situaciones:

  • Cuando el cáncer de piel volvió después de haber sido tratado.
  • Si hay cicatrices en la zona afectada
  • Cuando el cáncer está en zonas delicadas o visibles del cuerpo (como cara, nariz, párpados, orejas, labios o manos)
  • Si el tumor tiene bordes poco definidos, crece rápido o de manera descontrolada.

En ocasiones, se ofrecen a los pacientes otras técnicas quirúrgicas que simulan ser cirugía de Mohs, pero no ofrecen los mismos resultados. Algunas de estas técnicas son: cirugía oncoplástica convencional, control de márgenes diferido o congelación intraoperatoria.

Estas alternativas, no analizan el 100% de los márgenes ni alcanzan las tasas de curación de la cirugía de Mohs. Por ello se las llama "falso Mohs".

La cirugía convencional consiste en extirpar el cáncer junto con un margen amplio de piel sana alrededor. Este procedimiento tiene algunas limitaciones:

  • Se extrae una cantidad mayor de tejido sano.
  • Solo se revisa una pequeña parte de los márgenes.
  • Tiene mayores posibilidades de que el cáncer reaparezca.

Como con cualquier procedimiento quirúrgico, existen algunos riesgos, aunque en el caso de la cirugía de Mohs, son poco frecuentes y en general leves. Éstos son los más comunes:

  • Cicatriz mínima gracias a la preservación de piel sana
  • Herida más grande de lo esperado: a veces el cáncer puede ser más extenso de lo que se ve a simple vista.
  • Cicatrización lenta o imperfecta.
  • Sangrado o infección: raros y normalmente fáciles de controlar.
  • Reaparición del tumor: esto es poco común, pero puede ocurrir, sobre todo en tumores que ya fueron tratados previamente o que son muy grandes o antiguos.

Nuestro equipo evaluará tu caso de forma personalizada y te informará claramente sobre los riesgos específicos según tu diagnóstico y tu estado general de salud.

La duración de la cirugía de Mohs puede variar bastante, eso depende de:

  • El tamaño y la profundidad del tumor.
  • Cuántas capas de tejido haya que analizar.
  • La complejidad de la reconstrucción posterior (si es necesaria).

Sí. La cirugía de Mohs se realiza con anestesia local, por lo que estarás despierto durante el procedimiento. Esto permite una recuperación más rápida y con menos riesgos.

Solo en casos excepcionales, podría requerirse del uso de anestesia general. Si ese fuera tu caso, te lo explicaremos con anticipación y te daremos todas las indicaciones necesarias.

No, en general no duele. Gracias a la anestesia local, no vas a sentir dolor durante la cirugía.

Después de la cirugía, es posible que experimentes una leve molestia que suele ser pasajera y se controlan bien con analgésicos comunes.

CONTACTO

Dr. Otero Muñoz, Álvaro 2915278201
Dr. Serrano, Jerónimo 2914359900
Dra. Verna, Silvina 2915272983